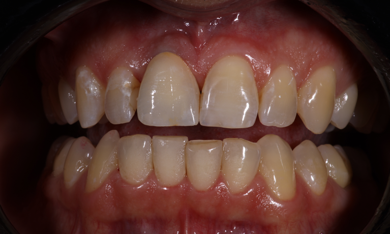
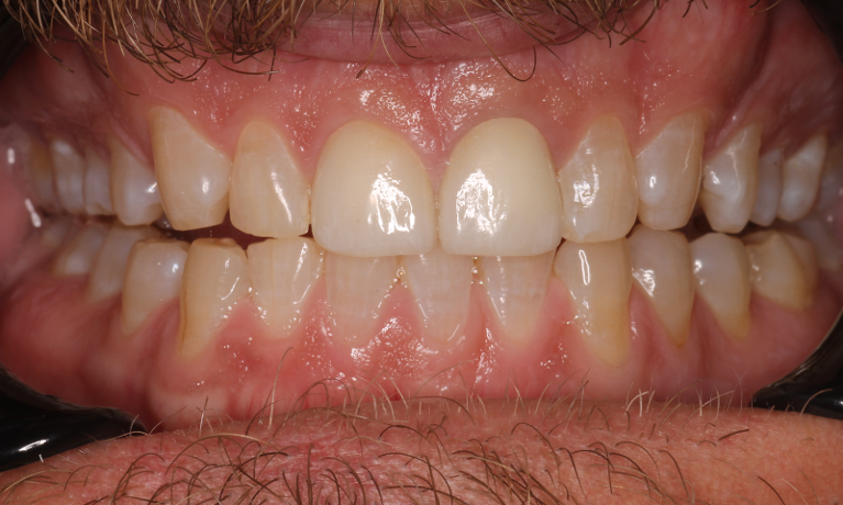
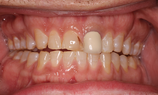
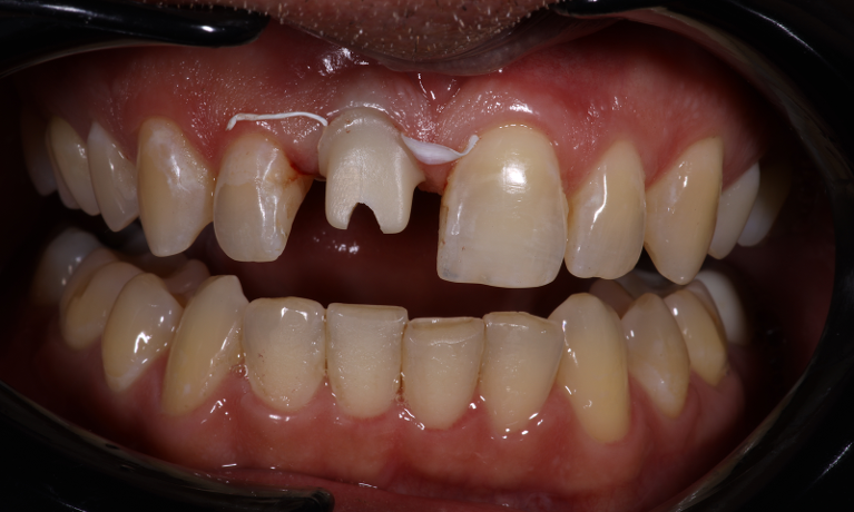
Dental crowns are a common tooth restoration that acts as a cap over a tooth. Dental crowns are commonly used to protect and strengthen a weakened or decayed tooth. They are an excellent dental option because they look and feel just like your natural tooth.
Dr. Cole Smith might recommend a dental crown to:
- Strengthen a tooth after root canal therapy
- Tooth part of a dental implant
- Protect a tooth from grinding or clenching
Dental crowns can also be used to enhance your smile cosmetically; for example, an oddly shaped tooth or badly stained enamel can be treated with a dental crown.
Dental Bridges
If you have lost a tooth or had one removed, you might experience trouble eating your favorite foods or speaking clearly. Dental bridges at our Bastrop, TX, dental office can give you a beautiful and functional smile again by restoring your tooth.
Dental bridges restore missing teeth by using neighboring teeth as an anchor to hold a dental crown in the place where the gap is. Bridges come as one unit, and Dr. Cole will custom-tailor it to fit perfectly in your mouth and look completely natural.
At CS Family Dentistry, Dr. Cole Smith might recommend a dental bridge to accomplish the following:
- Fill the gap left after tooth loss
- Prevent shifting of adjacent teeth
- Allow you to chew and speak normally
Your Oral Health Starts with You
At our Bastrop dental practice, we understand fully well how busy life can get. However, your oral health can affect your general health, your appearance, the way you speak, and the food you can eat comfortably.
Our goal is to consistently be one area in your life that is easy and efficient. Your oral health is our main priority, so we use only high-quality material that will last for years, and the best in dental technology to make each procedure stress-free and effective.
If you are living with damaged or missing teeth, don’t let your quality of life continue to degrade. Please call CS Family Dentistry to schedule a dental appointment with Dr. Cole Smith to find out more about your options for restoring and enhancing your smile.