CS Family Dentistry

Anterior Crowns

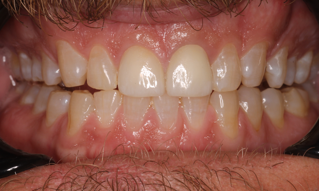
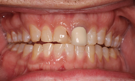
Here we feature a stunning before-and-after photo of a patient who received anterior crowns, resulting in a transformed smile. The crowns, custom-made to perfectly match the patient's natural teeth, were placed on the front teeth, effectively concealing discoloration, chips, and other imperfections. The result is a beautifully restored smile that the patient can be proud of.

Related Services:

Dental Crowns and Bridges
Ready to book an appointment?
If you have difficulty using our website, please email us or call us at (512) 321-2188
View the ADA Accessibility Statement
Privacy Policy