Smile Gallery
At CS Family Dentistry, we take pride in the level of detail and skill we put into our dentistry. Our smile gallery features a collection of "Before" and "After" pictures that showcase real patients and their new smiles. We invite you to take a look at our work so you can have an understanding of what each procedure can look like. If you come across any questions about cosmetic dentistry or are ready to schedule a dental appointment, please call our Bastrop dental office.


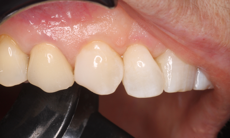
This patient came to us for an implant single crown match. This before and after photo highlights the seamless blend between the dental implant and the patient's natural tooth. This precise match ensures that the crown blends in flawlessly, leaving no visible indication of the dental restoration. The photo exemplifies the quality of implant single crown restoration that patients can expect from the skilled professionals at CS Family Dentistry.


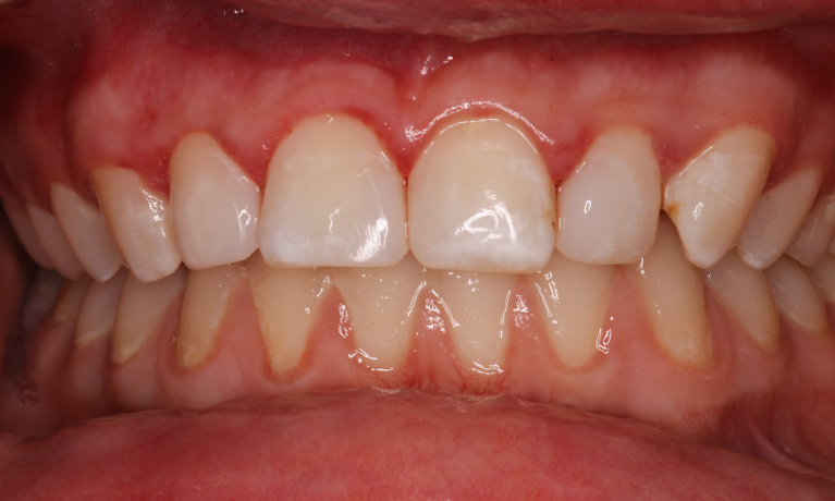
This patient, featured in the Smile Gallery of CS Family Dentistry, underwent a direct composite restoration. The patient had already undergone a dental amalgam elsewhere before coming to us. Our skilled dental professionals performed the procedure using a tooth-colored composite resin material, resulting in exceptional aesthetic results. The photo showcases the patient's completely ...


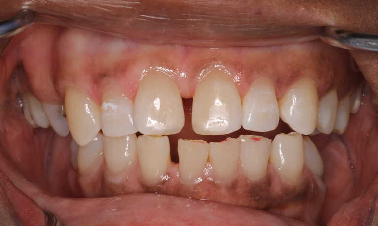
Here we feature an impressive photo of a patient who received a diastema closure to address the noticeable gap between their canine and premolar. The procedure utilized a customized treatment plan to achieve a precise and natural-looking closure of the gap. The photo perfectly captures the stunning aesthetic results that can be achieved through diastema closure, giving the patient a beautifully transformed smile.


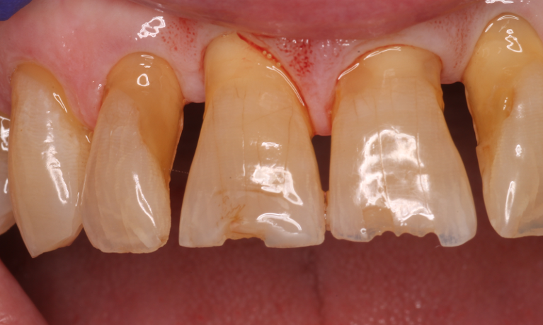
Displayed in the Smile Gallery of CS Family Dentistry is a remarkable photo of a patient who received a direct composite restoration to address a tooth cavity in its early stages. Our skilled dental professionals used a tooth-colored composite resin material to carefully restore the patient's chipped, cracked, or discolored tooth, resulting in an aesthetically pleasing and natural-looking restoration. The photo perfectly captures the exceptional results that can be achieved through direct composites, with the patient's tooth looking completely seamless and natural. This photo exemplifies the personalized care and commitment to quality dentistry that patients ...


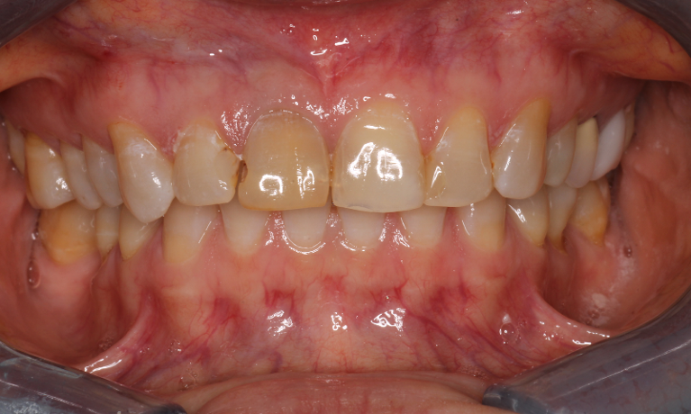
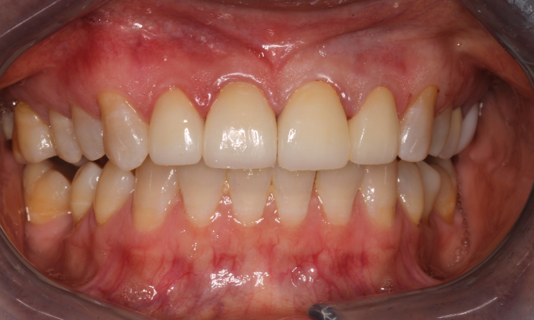
Here we feature a stunning before-and-after photo of a patient who received anterior crowns, resulting in a transformed smile. The crowns, custom-made to perfectly match the patient's natural teeth, were placed on the front teeth, effectively concealing discoloration, chips, and other imperfections. The result is a beautifully restored smile that the patient can be proud of.


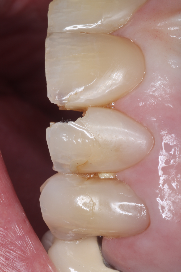
Check out this remarkable before and after photos of a patient who received a chipped front tooth repair, resulting in a flawless and natural-looking restoration. We used state-of-the-art techniques to restore the chipped tooth to its original shape and color. The photo perfectly captures the outstanding aesthetic results that can be achieved through chipped front tooth repair.


This patient was insecure about their chipped tooth. Our cosmetic dentist in Bastrop, TX, provided a consultation to help determine the best way forward to repair the chip. The patient and dentist decided on composite bonding, an inexpensive and fast solution.
Contact Us for Cosmetic Bonding in Bastrop
Do you have a chipped, damaged, or flawed tooth? We can help!


A chipped tooth can worsen over time and lead to breakage or infection. Additionally, it can detract from your smile. Fortunately, our cosmetic dentist in Bastrop repaired this patient's chip efficiently with composite resin, also called dental bonding.
Bonding can conceal general tooth flaws affordably, including chips and cracks.
Dental Bonding in Bastrop
If you want to learn more about our cosmetic dentistry, including bonding, or if you're ready to book a consultation, call us today.


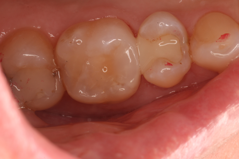
Our tooth-colored fillings work beautifully for back teeth. In this case, we provided fillings that blend effortlessly with your tooth color, giving you an aesthetic finish. This patient was pleased with the result.
Tooth-Colored Fillings in Bastrop, TX
We welcome your call if you have old silver fillings and would like to swap them for our aesthetic white options.


This patient had cavities, and we used tooth-colored fillings to restore the treated teeth. Tooth-colored or white fillings blend in with your tooth's enamel for a virtually invisible restoration.
The tooth-colored filling material can also be used to bond teeth.
Tooth-Colored Fillings in Bastrop, TX
Cosmetic fillings are beautiful and functional. To learn more or to schedule a consultation, call us today.




The following success story features a remarkable photo of a patient who received smile enhancement anterior crowns, resulting in a dramatic and beautiful smile transformation. The custom-made crowns were carefully crafted to improve the shape, size, and color of the patient's front teeth, resulting in a brighter, more even, and symmetrical smile. The photo perfectly captures the stunning results achieved through the skillful placement of anterior crowns by ...


This patient wanted to treat dental cavities without silver amalgam. Fortunately, our dentist was able to help!
Direct composites or white fillings are one of the most common cosmetic options in the world. They treat tooth decay while offering an aesthetic finish.
The material used to make these fillings can also conceal chips, cracks, and other tooth imperfections in a method called dental bonding.
Consider White Fillings in Bastrop, TX
White fillings are mercury-free and an attractive alternative to silver. Contact us today if you'd like more information.


This patient needed to treat a cavity in the smile line and was concerned about the aesthetic outcome.
Tooth-colored or white fillings are the best option for front teeth. The composite material that makes up these fillings can be color-matched to blend with your tooth enamel. It is virtually indistinguishable from your teeth! It is also durable and can withstand hot and cold foods or drinks.
Cosmetic Dental Fillings in Bastrop, TX
Would you like to learn more about composite fillings near me? Do you have silver fillings you'd like to replace with our white option? Call today to get started.


This patient had a broken tooth in the smile line and needed a quick solution.
Direct anterior composite bonding in Bastrop, TX, quickly restores chipped, cracked, and broken teeth. Bonding can also hide tooth discolorations and other general flaws.
Do You Have a Chipped or Broken Tooth?
Our cosmetic dentist can help restore your smile with quality cosmetic dentistry in Bastrop.


This patient wanted an aesthetically pleasing filling for a cavity. Our Bastrop dentist used direct composite or tooth-colored resin without gray or silver amalgam to treat the cavity.
Composite resin is a mercury-free material used to treat cavities, repair broken teeth, and conceal tooth flaws.
Contact Your Bastrop Dentist Today
We can replace amalgam fillings with composite and evaluate your smile for cosmetic dentistry!


This patient needed to repair a severe chip in their smile line. Our cosmetic dentist and the patient decided on composite bonding because it is fast, inexpensive, and reliable. Composite can also be shaded to match neighboring teeth.
Composite treats tooth decay and works beautifully in cosmetic dentistry!
Are You Looking for Dental Bonding Near Me?
Call our dental office today to learn more or book a consultation.


This patient was interested in concealing a few tooth flaws, including small chips. The dentist used direct composites or bonding material to enhance the smile aesthetics.
Composite material is versatile and used in cosmetic and general dentistry for bonding and tooth-colored fillings.
Affordable Dental Bonding in Bastrop, TX
Do you have a chipped or broken tooth? Would you like to learn more about our cosmetic dentistry? To get started, call our dental team today.