CS Family Dentistry

Chipped Front Tooth Repair

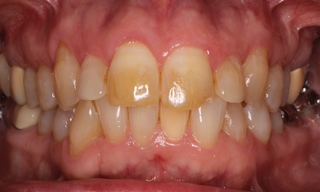
This patient was insecure about their chipped tooth. Our cosmetic dentist in Bastrop, TX, provided a consultation to help determine the best way forward to repair the chip. The patient and dentist decided on composite bonding, an inexpensive and fast solution. 

Contact Us for Cosmetic Bonding in Bastrop

Do you have a chipped, damaged, or flawed tooth? We can help! 

Related Services:

Cosmetic Dentistry
Getting an appointment is fast and easy!
If you have difficulty using our website, please email us or call us at (512) 321-2188
View the ADA Accessibility Statement